症例 CASE
症例 CASE
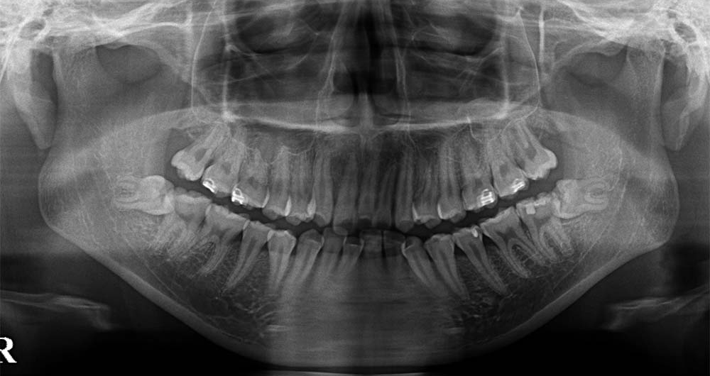
40代男性
ケース1:左下の歯が痛い
親知らずが隣の歯と重なり虫歯になった患者さんです。
他県の歯科医院より紹介頂き受診されました。初診の当日に処置を行っています。
歯の頭の部分を削って抜きました。切開は行っていませんが2糸縫って終わっています。
術後は紹介先で経過を診て頂いていますが、少しの腫れはあったようですがその他は特に問題はなかったようです。
- 所要時間
- 15分程度
- 費用
- ¥9,000(健康保険内)
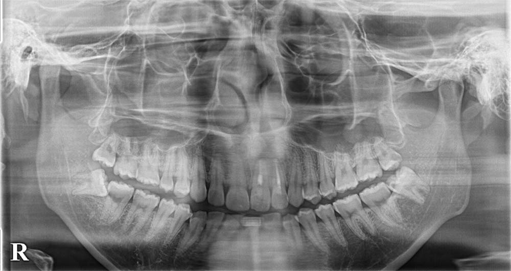
20代男性
ケース2:右下に食べ物がつまる
矯正治療中の患者さんですが、県内の歯科医院より紹介頂き受診されました。初診の当日に処置を行っています。
神経と歯の根が近かったためCTにて位置関係を3次元的に確認したうえで、5mm程度の切開を行い歯の頭の部分を削って抜きました。2糸縫って終わっています。
術後は紹介先で経過を診て頂いていますが、少しの腫れはあったようですが痺れ等はなかったようです。
- 所要時間
- 15分程度
- 費用
- ¥9,000(健康保険内)
20代男性
ケース3:左下に食べ物がつまる
県内の歯科医院より紹介頂き受診されました。初診の当日に処置を行っています。
神経と歯の根が近かったためCTにて位置関係を3次元的に確認したうえで、5mm程度の切開を行い歯の頭の部分を削って抜きました。2糸縫って終わっています。
術後は紹介先で経過を診て頂いていますが、少しの腫れはあったようですが痺れ等はなかったようです。
- 所要時間
- 15分程度
- 費用
- ¥9,000(健康保険内)
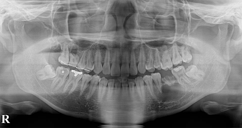
70代男性
ケース4:右下の奥歯が痛む
県内の歯科医院より紹介頂き受診されました。初診の当日に処置を行っています。
横になった歯の下に神経が走っていたためCTにて位置関係を3次元的に確認したうえで、5mm程度の切開を行い歯の頭の部分を削って抜きました。2糸縫って終わっています。
なお、高血圧で治療をされていたため生体モニター(心電図、血圧計、酸素飽和度等)の監視下に処置を行っています。
術後は紹介先で経過を診て頂いていますが、少しの腫れはあったようですが痺れ等はなかったようです。
- 所要時間
- 20分程度
- 費用
- ¥9,000(健康保険内)
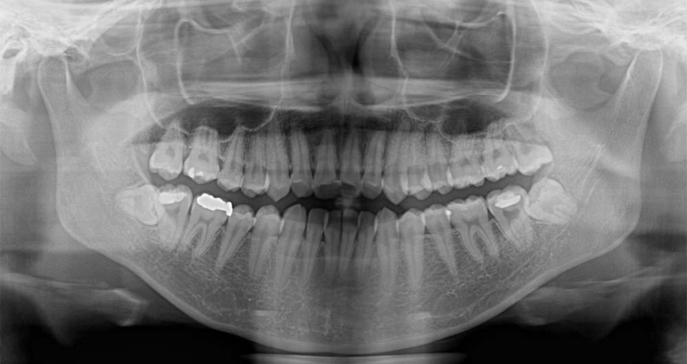
20代男性
ケース5:左下に食べ物がつまる
県内の歯科医院より紹介頂き受診されました。初診の当日に処置を行っています。
神経と歯の根が近かったためCTにて位置関係を3次元的に確認したうえで、5mm程度の切開を行い歯の頭の部分を削って抜きました。2糸縫って終わっています。
術後は紹介先で経過を診て頂いていますが、少しの腫れはあったようですが痺れ等はなかったようです。
- 所要時間
- 20分程度
- 費用
- ¥9,000(健康保険内)
20歳女性
ケース6:左下の歯ぐきがはれる
県内の歯科医院より紹介頂き受診されました。初診の当日に処置を行っています。
5mm程度の切開を行い歯の頭の部分を削って抜きました。2糸縫って終わっています。
術後は紹介先で経過を診て頂いていますが、少しの腫れはあったようですが痺れ等はなかったようです。
- 所要時間
- 10分程度
- 費用
- ¥5,000(健康保険内)